Journal of Cancer Science and Research

Journal of Cancer Science and Research
Open Access

ISSN: 2576-1447

Research Article - (2018) Volume 3, Issue 2

Curcuminoids Suppress the Number of Transformed-Hepatocytes and Ki67 Expression in Mice Liver Carcinogenesis Induced by Diethylnitrosamine

Atmodjo WL1,2*, Larasati YO1, Isbandiati D3 and Mathew G1,2
1Pathology Divisions, Mochtar Riady Institute for Nanotechnology, Lippo Karawaci, Tangerang, Indonesia
2Biomedical Divisions, Faculty of Medicine, University of Pelita Harapan, Lippo Karawaci, Tangerang, Indonesia
3Pathology Divisions, Faculty of Medicine, University of Pelita Harapan, Lippo Karawaci, Tangerang, Indonesia
*Corresponding Author: Dr. Atmodjo WL, Ph.D, Department of Biomedical, Faculty of Medicine, Universitas Pelita Harapan Jl, Boulevard Jend Sudirman Road 1688, Lippo Karawaci, Tangerang 15811, Indonesia, Tel: (+62) 21–54210130, Fax: (+62) 2-54210133 Email:

Received Date: Apr 16, 2018 / Accepted Date: May 09, 2019 / Published Date: May 15, 2019

Abstract

Background: Curcuminoids has been reported to have strong anti-oxidant and anti-inflammatory effects, however the effect of curcuminoids to hepatocytes and their proliferation in DEN (Diethylnitrosamine) induced mice liver carcinoma model is still not yet been studied in detail.
Objection: To evaluate the effects of curcuminoids-containing diets in liver carcinoma mice induce with Diethylnitrosamine
Methods: Forty of 5 weeks old, male Balb/C mice were administered DEN as an injection and fed with basal diet; and another group injected with DEN and fed with 0.2% curcuminoids-containing diet. Dose of injection DEN is 75 mg/kg BW/week for 3 weeks, continued with 100 mg/kg BW/week for 3 continuous weeks. Five animals in each group were sacrificed at 20 and 32 weeks after the first injection of DEN. The liver sections were stained with HE (Hematoxylin Eosin) and antibody anti Ki67. The number of transformed-hepatocytes and Ki67-positive cells were counted randomly in high-powered fields.
Results: The liver of group 3 showed disruption of hepatic architecture with dilated sinusoids, lymphocytes infiltration, hydrophic and fatty degeneration towards necrotic hepatocytes. Hepatocytes were found pleomorphic and large in size with hyperchromatic nuclei and prominent nucleoli.
Conclusion: Our study has shown that curcuminoids diet suppressed increasing number of transformed- hepatocytes and Ki67-positive cells significantly (p<0.05).

Keywords: Curcuminoids; Transformed-hepatocytes; Ki 67; Diethylnitrosamine

Abbreviations

DEN: N-Nitrosodiethylamine; HCC: Hepatocellular Carcinoma; IP: Intraperitoneal

Introduction

Liver parenchyma comprises of hepatic parenchymal, sinusoidal cells and perisinusoidal stellate cells [1]. Interrelationships among hepatic cells in the inflammatory process which led to fibrosis are activated by auto/paracrine regulation. In the process of inflammation progression to cirrhotic, granuloma consisting abundant macrophages and stellate cells are formed surrounding central vein. Hepatic stellate cells are characterized with small lipid droplet and dilated rough endoplasmic reticulum was found in intimate contact with Kupffer. They produce abundant collagen fibers which developed into connective tissue septa in CCl4-induced mice [2].

Hepatocellular carcinoma (HCC) is one of the common cancers and cause of death in many countries, however the treatment strategies for HCC still has not yet been effective [3].

Based on previous studies in cell culture, animal research, and clinical trials, curcuminoids the main polyphenols in the rhizome of turmeric plant, comprises of 3 active metabolite, as dominant curcumin I, curcumin II (demetoxycurcumin) and curcumin III (bisdemetoxycurcumin). Curcumin have been reported as a potential therapeutic agent in inflammatory disease, as well as certain types of cancer [4]. According to that, curcumin that exert a strong anti-inflammatory effect are anticipated to have some degree of chemopreventive activity.

The effect of curcuminoids have been demonstrated as free radical scavengers that suppress the production of malondialdehyde as superoxide, protecting necrotic hepatocytes; reduce the number of hepatic stellate cell and number of macrophages in the liver of Balb/c mice injured by CCL4 [5]. Curcuminoids given orally improved blood perfusion through the sinusoids, reduced phagocytic activity of Kupffer cells and decreased the number of swollen endothelial cells in Balb/C mice injected with LPS (lipopolysaccharide) [6]. The anti-inflammatory properties of curcumin are thought due to suppress prostaglandin synthesis [7].

In the study of liver carcinogenesis, rat/mouse was IP (intraperitoneal) injected with DEN (diethylnitrosamine) and demonstrated to develop nodules >1.2 cm in the liver after 10 weeks completion of DEN injection [8,9]. In the morphology of rat hepatocellular lesions, microscopically demonstrated hepatocytes characterized with vacuolated cytoplasm due to amount of lipid, enlargement and hyperchromatic nuclei also prominent nucleoli [10].

Cell proliferation is considered to play an important role in the subsequent steps of carcinogenesis process. The Ki67 protein is a nuclear protein that associated with cellular proliferation. It is related with ribosomal RNA transcription, the inactivation of antigen Ki67 leads to inhibition of RNA synthesis. Ki67 is antigen protein used as proliferation marker for cancer cells [11]. The fraction of Ki67-positive labelling is often correlated with the clinical use for diagnosis of cancer such as carcinoma of prostate, breast and brain. The expression of immunoreactivity of Ki67 was significantly associated with advance stage of HCC [12]. The expression of Ki67 located in cell nuclei has been demonstrated in HCC, well to poor differentiated with or without cirrhosis [12,13]. Increasing number of Ki67 expression cells is useful for predicting liver carcinogenesis. In a study of patients who had undergone resection for HCC, higher level of Ki67 expression was found to be associated with early disease of recurrence [14]. The numbers of Ki67 positive cells were increased significantly after DEN treatment at 6, 12, and 18 week following the first injection [15].

In this study we aim to explore the efficacy of 0.2% curcuminoids containing diet to suppress the increasing number of transformedhepatocytes and their proliferation in the process of liver carcinogenesis after diethylnitrosamine induction. We hypothesis that the administration of 0.2% curcuminoids containing diet to the mice injected with DEN will suppress the number of transformed-hepatocytes and their proliferation identified by the number of Ki67-positive cells. In this study, curcuminoids were given orally in the 0.2% curcuminoids containing diet due to their limited systemic bioavailability [16].

Materials and Methods

Forty male Balb/C mice (IndoAnilab Bogor, Indonesia) weighing 20-22 g at the week of five were used as experimental animals. Mice were kept at a controlled temperature (22°C) under a 12 hr light–dark cycle with free access to water and diet ad libitum.

Curcuminoids were purchased from Javaplant (Extraction Plants, Tri Rahardja Company, Jakarta, Indonesia). They were extracted from Curcuma xanthorrizha Roxb root using ethanol-water extraction method with end concentration of 30%. Total curcuminoids concentration was analysed using Spectro UV-VIS method. Diets with 0.2% curcuminoids were mixed using basal diet based on AIN76 rodent diet formula (20.8% protein, 67.7% carbohydrate and 11.5% fat). Total concentration of curcuminoids in diets was 0.077 mg/g desmetoxycurcumin and 0.295 mg/g curcumin (Department Food Science and Technology, Bogor Agricultural Institute, Indonesia). All mice until the end of experiment were weighed weekly and observed every day.

All experiments were conducted in accordance with the National Institutes of Health Guidelines for the Care and Use of Laboratory Animals and were approved by the Hasanuddin University Institutional Animal Care and Use Committee with number UH12070217.

The mice were randomized divided into 4 groups. Group 1 (Basalsaline) as negative control, were fed with basal diet combined with injection of 0.5 ml sterile saline IP (intraperitoneally) weekly for 6 weeks; group 2 (Curcuminoids-saline), were fed with 0.2% curcuminoidscontaining combined with injection of 0.5 ml sterile saline IP weekly for 6 weeks; group 3 (Basal-DEN) were fed with basal diet combined with injection of DEN (Sigma Aldrich, St. Louis, Missouri, United States) i.p. at dose 75 mg/kg BW/week for 3 weeks, followed by three further injections of 100 mg/kg BW/week for 3 continues week; and group 4 (Curcuminoids-DEN) were fed with 0.2% curcuminoids-containing diet combined with DEN injection.

Five mice in each of 4 groups were sacrificed at 20 and 32 weeks after initiation of DEN injection. They were anesthetized with cocktail of ketamine and xylazine at dosage 40-80 mg/kg BW and 5-10 mg/kb BW respectively then euthanized by exsanguinations. The entire liver were removed totally and observed macroscopically. The liver then perfused with saline and fixed in 10% buffer neutral formalin for 3 days, cut and dehydrated in series of alcohol and embedded in paraffin. Paraffin block were cut in 4 μm thicknesses on microtome. General structure such as parenchyma cells, sinusoids, hepatic vessel and process of mitosis were observed using Hematoxylin Eosin staining method and reviewed by the pathologist in a blind manner. The number of cells that indicate transformed-hepatocytes such as large nuclei that increasing nucleus to cytoplasm (N/C) ratio, hyperchromatin nuclei, and prominent nucleoli were calculated by assessing high-power microscopic fields (×400) in 10 random and non-overlapping fields for each section from different lobules to representing total area of 0.825 mm2.

Immunohistochemistry for Ki67

Liver tissues were fixed in 10% Neutral Buffered Formalin and embedded in paraffin. Liver tissue were sliced at 4 μm and placed on poly-L-Lysine-coated slides. After deparaffinized with xylene for 2x15 minutes, the sections were rehydrated through a decreasing ethanol series (100–70%) for 5 minutes each step. Then washed in PBS (phosphate buffer saline) three times for 5 minutes and immersed in citrate buffer for 30 minutes using retrieval chamber. The sections were incubated in hydrogen peroxide 0.3% at RT (room temperature) for 30 min to block endogenous peroxidase activity then pre-incubated with blocking serum at RT for 30 minutes. In between the process they were washed with PBS. Sections were then incubated with an anti-Ki67 Rabbit monoclonal antibody (Biocare Medical, Pacheco, California, United States) diluted 1:200 (v/v) with PBS overnight at 4°C. After washed with PBS, the slides were incubated with Goat anti Rabbit HRP (Horseradish Peroxidase) Polymer Detection for 30 minutes at RT. Sections were stained with DAB (Diaminobenzidine) chromogen solution and counterstained with Mayer’s hematoxylin. Negative controls were performed using PBS. The number of Ki67 positive cells was calculated by assessing 40 high-power microscopic fields (×400) in 10 random and non-overlapping fields for each section to representing total area of 0.825 mm2. Numbers of Ki67 positive cells were analysed as a percentage of total number hepatocytes.

Statistical analysis

All data are expressed as mean ± standard deviation of the mean. Statistical analysis was performed using SPSS 22. Comparisons between groups were analyzed by Independent sample t-test. A p-value <0.05 was considered a statistically significant.

Result and Discussion

The appearance and general activity of all mice were showed no difference among the group. The average of body weight of mice at the age of 20 or 32 weeks after starting the experiment (week 0), statistically were not different between control and treated groups (Figure 1). This result was in accordance with Chuang et al. that show no significant differences for body weight and liver weight after DEN injection [17].

journal-cancer-science-and-research-body-weight-mice

Figure 1: The average body weight of mice in both 20 and 32 weeks. There were no significant different in body weight among the group.

Macroscopically, there were no morphological changes of liver in DEN-treated mice compared to control mice injected with saline (Group 1), also compared to mice given curcuminoids containing diet (Group 2).

Liver specimens of control groups stained with H&E, demonstrated classical hexagonal liver lobules with hepatic portal triads at the periphery of each lobule and the terminal hepatic central vein in the center of the lobule. Each lobule showed arrangement structure of hepatocytes plates with one cell thick radiated from central vein toward periphery of the lobules. The liver sinusoids lining with endothelial cells were found between the adjacent of one thick cell of hepatocytes’ plate (Figure 2). Our macroscopic and microscopic result showed that the administration of 0.2% curcuminoids diet for 32 weeks of experiment did not change the general architecture of normal liver. It demonstrated there was no histologically toxicity of curcumin given orally which in accordance with a study by Cheng et al. [18].

journal-cancer-science-and-research-negative-control-group

Figure 2: Liver section of mice in negative control group (A) and curcuminoids diet–saline group (B) showing general structure of hepatocytes plates with one cell thick radiated from central vein toward periphery of the lobules. Each hepatocytes chord is separated by the sinusoids (↑) (400x magnification – bar = 20μm).

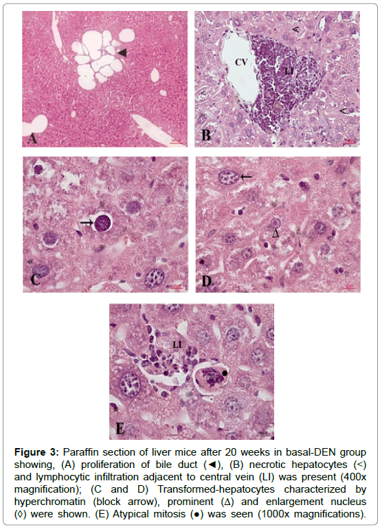
After the administration of DEN, no macroscopic nodules were developed in the liver surface of mice at the age of 20 and 32 weeks, only white spots were seen in some part of the liver at the age of 32 weeks. Microscopically, liver section of mice at 20 weeks after DEN injections showed disorganization of hepatic architecture, sinusoid dilatation and bile duct hyperplasia (Figure 3A). The infiltration of inflammatory cells indicating early step of carcinogenesis were present at surrounding central veins (Figure 3B). At this stage, the transformed-hepatocytes characterized with hyperchromatin cells, nucleus enlargement and prominent nucleoli were found (Figure 3C and 3D). Atypical mitotic were seen adjacent to lymphocyte infiltration (Figure 3E) (Figure 3).

journal-cancer-science-and-research-lymphocytic-infiltration

Figure 3: Paraffin section of liver mice after 20 weeks in basal-DEN group showing, (A) proliferation of bile duct (◄), (B) necrotic hepatocytes (<) and lymphocytic infiltration adjacent to central vein (LI) was present (400x magnification); (C and D) Transformed-hepatocytes characterized by hyperchromatin (block arrow), prominent (Δ) and enlargement nucleus (◊) were shown. (E) Atypical mitosis (●) was seen (1000x magnifications).

After 32 weeks, the liver section of mice received DEN injections (Group 3) showed a separated nodule (Figure 4A) showed disorganization of the hepatic plate (Figure 4B). Size and shape of parenchymal cells were changed and showed hydrophic and fatty degeneration (Figure 4C). At this phase, dilatation of the vessels was demonstrated (Figure 4D). Pseudo-nodules were developed after 32 weeks which indicate later stage of liver carcinogenesis (Figure 4E). This result is in agreement with Yousef et al. which states that induction of DEN caused several alterations of hepatocytes including necrosis accompanied with inflammatory cells. After 20 and 32 weeks received DEN injection, a progressive increase number of transformed- hepatocytes were found surrounding central and portal veins [15] (Figure 4).

journal-cancer-science-and-research-hepatic-architecture

Figure 4: Paraffin section of mice liver after 32 weeks of basal-DEN group, (A) an individual nodule (100x magnification), which composed mostly of (B) pleomorphic and necrotic hepatocytes (400x magnification). (C) Disruption of hepatic architecture, fatty (block arrow) and hydrophic degeneration (◊) within hepatocytes were observed (400x magnification); (D) the number of dilated-vessels were increase (100x magnification), (E) pseudo nodule were observed in most of the liver section.

There was no significant increase of transformed hepatocytes in either basal saline or curcuminoids saline. The increasing number of transformed hepatocytes were significantly higher in DEN treated group compared to mice given 0.2% curcuminoids diet and saline injection as well as compared to basal saline group (p<0.05). Development of liver carcinogenesis induced by DEN injection is depending on the duration, dose and administration route [8-9,15,17,19-21]. Our result showed that treatment with 0.2% curcuminoids in diet can prevent the liver carcinogenesis proven by lower number of transformed hepatocytes in a group treated with curcuminoids after DEN injection compared with Basal DEN (Figure 5).

journal-cancer-science-and-research-transformed-hepatocytes

Figure 5: Mean and standard deviation of transformed hepatocytes in all groups. Value are significantly different (p<0.05) both 20 and 32 weeks of all groups compared with Basal - DEN treatment (●).

The disarrangement of liver architecture, inflammatory cells infiltration, alteration in hepatocytes including necrotic hepatocytes, and increase number of mitotic cells could indicate the early step of tumorigenesis. DEN administration produces the reactive oxygen species which lead to hepatocytes necrosis. It has been postulated that the necrotic hepatocytes will release their cellular constituents into the surrounding interstitial tissue which lead to inflammatory infiltration [22]. The administration of DEN, showed central veins surrounded by extensive necrosis and inflammatory infiltration, clusters of necrotic hepatocytes, bile duct proliferation and marked atypia, also caused inflammatory cell infiltrates, fatty degeneration, hyperplastic nodules and biliary cysts [19,21]. Transformed hepatocytes were characterized with pleomorphic, enlargement and hyperchromatin nuclei make greater nuclear per cytoplasmic ratio (N/C ratio), and centrally prominent nucleoli.

The results from this study shows that, administration of DEN at 20 and 32 weeks can induce transformed-hepatocytes which caused by DNA damage and instability. We postulate that the property of DEN to induce tumorigenesis was by acting as DNA alkylating agent which metabolite can interact with the DNA to produce various DNA adduct. O4-ethylthymidine is DNA alkylating product after expose to diethylnitrosamine [20]. Study by Swenberg et al. showed that the minor DNA adduct, O4-ethylthymidine, was clearly a major promutagenic adduct in hepatocytes of rats continually exposed to DEN [23]. The administration of DEN also generates several free radicals such as malondialdehyde (MDA), nitrate oxide and can decrease the antioxidant production such as glutathione, glutathione peroxidase and catalase [19]. The free radical produces by DEN can attack bases and the deoxyribocyl backbone of DNA which cause DNA instability that can lead to abnormal cell division [24].

Previously, curcuminoids have been reported as a potential therapeutic agent in inflammatory disease, as well as certain types of cancer [4]. Curcuminoids was demonstrated to have antioxidant, antiinflammatory and anti-carcinogenesis property. The anti-carcinogenesis property of the curcuminoids was probably due to its ability to act as an antioxidant which scavenges the free radical produce by toxic agent [5].

Immunohistochemical staining using antibody Ki67 were done to observe the anti-proliferative property of the curcuminoids. Ki67 proteins were expressed during cell proliferation. It was expressed in all phases of the cell cycle except for the G0 phase which make it the best candidate to detect proliferation. The expressions of the proteins were highest at the G2/M phase [25]. Ki67 immuno-reactivity was located in the nucleus and nucleolus, mainly in the nuclear membrane of hepatocytes (Figure 6). Its expression was calculated as the percentage of positive cells. Limited number of Ki67 positive cells was expressed in the liver section of control groups fed with basal (Group 1) and 0.2% curcuminoids containing diet (Group 2) (Figure 7).

journal-cancer-science-and-research-nucleus-hepatocytes

Figure 6: Ki67 protein showed dark brown color was expressed within the nucleus of hepatocytes during proliferation (→) (1000x magnification – bar = 10 μm).

journal-cancer-science-and-research-Saline-Basal

Figure 7: Paraffin section of mice liver shows KI67 positive cell (→) in Saline–Basal (1) and in Saline-Curcuminoids (2) (400x magnification–bar=20 μm).

Induction of DEN on 20 and 32 weeks of DEN treated group significantly increase proliferation rate (p<0.05) showed by increase number of Ki67, compare to the control groups (Group 1 and 2). The Ki67 proteins were not expressed in the nucleus of transformed hepatocytes. This result was accordance with the study by Youssef et al [15] which showed that some cells with dysplastic changes were negative for Ki67. The number of Ki67 positive cells after 10, 15 and 20 weeks are increasing (data not shown). Our findings were in accordance with Youssef et al. which indicated that the number of Ki67 positive cells was increased significantly (p<0.05) in DEN treated group [15]. Moreover the percentage of Ki67 in high-grade HCCs paralleled c-met proto oncogene overexpression [26]. The numbers of Ki67 positive cells in liver mice after 32 weeks of DEN treatment were decrease (Figure 8). It is assumed that decrease number of Ki67 positive cells in the later stage due to increasing number of necrotic cells.

journal-cancer-science-and-research-positive-cells

Figure 8: Paraffin section of mice liver after 20 weeks (above) and 32 weeks (below) shows Ki67 positive cells (→), DEN–Basal(1 and 3) shows higher number compared to DEN–curcuminoids (2 and 4) (400x magnification–bar=20 μm).

Administration of 0.2% curcuminoids diet after carcinogen treatment in group 4 mice, can significantly (p<0.05) suppressed the number of Ki67 positive cells in group 3 injected with DEN and fed with basal diet (Figure 9). High Ki67 was significantly associated with advanced stage of HCC, including poor differentiation, large tumor, and more tumor nodes, with metastasis, cirrhosis and vein invasion [13].

On the contrary, study of HCC development in liver cirrhosis showed that there are no statistically significant differences between the mean Ki67 in relation to the histological grading and pattern [14]. We assume that curcuminoids may inhibit the progression of hepatic carcinogenesis particularly by inhibiting cell proliferation.

Conclusion

In our study, mice fed with 0.2% curcuminoids-containing diet will protect liver carcinogenesis injected with multiple dose of DEN proven by less number of transformed- hepatocytes and Ki67-positive cells significantly (p<0.05) Therefore, we concluded that curcuminoids are able to suppress the increasing number of transformed-hepatocytes and Ki67 expression in liver carcinogenesis may be associated with its anti-oxidant and anti-inflammatory effect. The mechanism of the inhibitory effect of curcuminoids on liver carcinogenesis requires further investigation.

Acknowledgment

We thank to Mochtar Riady Institute for Nanotechnology for the grant of this research.

References

  1. Kenjiro W, Karl WK (2002) Modern Hepatology Proceedings 11th International Symposium on the Cells of the Hepatic Sinusoid and their Relation to Other Cells Tucson. 25-29 August, Arizona, USA.
  2. Lukita-Atmadja W, Sato T, Wake K (1993) Granuloma formation in the liver of Balb/c mice intoxicated with carbon tetrachloride. Virchows Arch B Cell Pathol Incl Mol Pathol 64: 247-257.
  3. Ferenci P, Fried M, Labrecque D, Bruix J, Sherman M, et al. (2010) World Gastroenterology Organisation Global Guideline. Hepatocellular carcinoma (HCC): a global perspective. J Gastrointestin Liver Dis 19: 311-317.
  4. Aggarwal BB, Kumar A, Alok CB (2003) Anticancer potential of curcumin: preclinical and clinical studies. Anticancer Res 23: 363-398.
  5. Lukita-Atmadja W, Gunawan H, Kawai Y, Shi J, Ekataksin W, et al. (1997) Behavior of kupffer cells/macrophages and stellate cells in the liver injured by CCl4 and treated with oral administration of curcuminoids as anti-oxidant in balb/c mice. Cells of the Hepatic Sinusoid; Kupffer Cell Foundation 6.
  6. Lukita-Atmadja W, Ito Y, Baker GL, McCuskey RS (2002) Effect of curcuminoids as anti-inflammatory agents on the hepatic microvascular response to endotoxin. Shock 17: 399-403.
  7. Goel A, Boland CR, Chauhan DP (2001) Specific inhibition of cyclooxygenase-2 (COX-2) expression by dietary curcumin in HT-29 human colon cancer cells. Cancer Lett 172: 111-118.
  8. Shiota G, Harada K, Ishida M, Tomie Y, Okubo M, et al. (1999) Inhibition of hepatocellular carcinoma by glycyrrhizin in dietylnitrosamine-treated mice. Carcinogenesis 20: 59-63.
  9. Kushida M, Kamendulis LM, Peat TJ, Klaunig JS (2011) Dose-related induction of hepatic transformed lesion by dietylnitrosamine in C57BL/6 Mice. Toxicol Pathol 39: 776-786.
  10. Goodman DG, Mariopot RR, Newberne PM, Popp JA, Squire RA (1994) Proliferative and selected other lesion in the liver of rat. Guides for Toxicologic Pathology.
  11. Lin GY, Chen  ZL, Lu CM, Li Y, Ping XJ, et al. (2002) Immunohistochemical study on p53, H-rasp21, c-erbB-2 protein and PCNA expression in HCC tissues of Han and minority ethnic patients. World J Gastroenterol 6: 234-238.
  12. SoyuerI, Cemil EN, Kaya M, GencY, Bahar K (2003) Diagnostic value of ki67 in hepatocellular carcinoma. Turk J Med Sci 33: 15-19.
  13. Luo Y, Ren F, Liu Y, Shi Z, Tan Z, et al. (2015) Clinicopathological and prognostic significance of high ki67 labelling index in hepatocellular carcinoma patients: a meta-analysis. Int J Clin Exp Med 8: 10235-10247.
  14. Mocanu E, BroascaV, Severin B (2012) Ki67 expression in hepatocellular carcinoma develop on a liver cirrhosis. ARS Medica Tomitana 18: 33-37.
  15. Youssef MI, Maghraby H, Youssef EA, Mohammed ME (2012) Expression of Ki 67 in hepatocellular carcinoma induced by diethylnitrosamine in mice and its correlation with histopathological alterations. Journal of Applied Pharmaceutical Science 02: 52-59.
  16. Jurenka JS (2009) Anti-inflammatory properties of curcumin, a major constituent of Curcuma longa: A Review of Preclinical and Clinical Research. Altern Med Rev 14: 141-153.
  17. Chuang SE, Kuo ML, Hsu C, Chen CR, Lin JK, et al. (2000) Curcumin-containing diet inhibits dietylnitrosamine-induced murine hepatocarcinogenesis. Carcinogenesis 21: 331-335.
  18. Cheng AL, Hsu CH, Lin JK, Hsu MM, Ho YF, et al. (2001) Phase I clinical trial of curcumin, a chemopreventive agent, in patients with high risk or premalignant lesion. Anticancer Res 21: 2895-2900.
  19. Al-Rejaie SS, Aleisa AM, Al-Yahya AA, Bakheet SA, Alsheikh A, et al. (2009) Progression of diethylnitrosamine-induced hepatic carcinogenesis in carnitine-depleted rats. World J Gastroenterol 21: 1373-1380.
  20. Bralet MP, Pichard V, Ferry N (2002) Demonstration of direct lineage between hepatocytes and hepatocellular carcinoma in diethylnitrosamine-treated rats. Hepatology 36: 623-630.
  21. Guo C, Zhi-Kai D, Rong-Gan L, Sheng-Jun X, Song-Qing H, et al. (2012) Characterization of diethylnitrosamine-induced liver carcinogenesis in Syrian golden hamsters. Exp Ther Med 3: 285-292.
  22. Elmore S (2007) Apoptosis: a review of programmed cell death. Toxicol Pathol 35: 495-516.
  23. Swenberg JA, Richardson FC, Boucheron JA, Dyroff MC (1985) Relationships between DNA adducts formation and carcinogenesis. Environ Health Perspect 62: 177-183.
  24. Valko M, Izakovic M, Mazur M, Rhodes CJ, Telser J (2004) Role of oxygen radicals in DNA damage and cancer incidence. Mol Cell Biochem 266: 37-56.
  25. Guzman G, Alagiozian-Angelova V, Layden-Almer JE, Layden TJ, Testa G, et al. (2005) p53, Ki67, and serum alpha feto-protein as predictors of hepatocellular carcinoma recurrence in liver transplant patients. Mod Pathol 18: 1498-1503.
  26. Grigioni WF, Fiorentino M, D'Errico A, Ponzetto A, Crepaldi T, et al. (1995) Overexpression of c-met protooncogene product and raised Ki67 index in hepatocellular carcinomas with respect to benign liver conditions. Hepatology 21: 1543-1546.
Citation: Atmodjo WL, Larasati YO, Isbandiati D, Mathew G (2018) Curcuminoids Suppress the Number of Transformed-Hepatocytes and Ki67 Expression in Mice Liver Carcinogenesis Induced by Diethylnitrosamine. J Can Sci Res 3:112.

Copyright: © 2018 Atmodjo, et al. This is an open-access article distributed under the terms of the Creative Commons Attribution License, which permits unrestricted use, distribution, and reproduction in any medium, provided the original author and source are credited.
Top